Tuberkulóza (TBC)

TBC je vážné infekční onemocnění, které může postihnout různé orgány, nejčastěji však plíce. V současnosti je ve světě nejčastější smrtící infekční chorobou, každoročně na ni umírají asi 3 miliony osob. Tuberkulóza zůstává sociální chorobou. Nejčastějším zdrojem tuberkulózní nákazy je člověk nemocný tuberkulózou.
Tuberkulózu způsobují bakterie Mycobacterium tuberculosis complex, nejčastěji Mycobacterium tuberculosis, vzácněji Mycobacterium bovis nebo Mycobacterium africanum.
Mykobakterium tuberculosis je acidorezistentní, alkalirezistentní a alkoholrezistentní aerobní mikrob s optimálním růstem při teplotě 37–38 °C a dlouhou generační dobou, což vyžaduje kultivaci na speciálních půdách po dobu 12 týdnů.
Existují také tzv. atypické mykobakterie (Mycobacterium kansasii, Mycobacterium xenopi, Mycobacterium avium-intracellulare aj.), které způsobují mykobakteriózy. Tyto infekce se na rozdíl od tuberkulózy nepřenášejí z člověka na člověka.
Mykobakterie tuberkulózy přežívají v prostředí 1–2 hodiny, přičemž sluneční světlo a teploty nad 60 °C je spolehlivě ničí.
Přenos nákazy je inhalační cestou (kapénková). Možný je přenos i přímým dotykem (inokulace) a alimentární cestou.
Bránou vstupu infekce je z 80–90 % dýchací ústrojí.
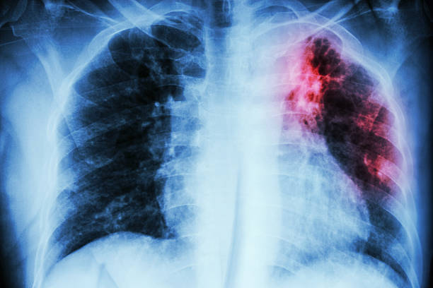
Diagnóza tuberkulózy se stanoví na základě symptomů, charakteristického nálezu na skiagramu hrudníku a průkazu mykobakterií. Je nutno zvažovat i všechna plicní onemocnění, nespecifické pneumonie, bronchogenní karcinom, sarkoidózu, plicní infarkt, silikózu, Wegenerovu granulomatózu atd.
V Ústeckém kraji bylo za posledních pět let hlášeno 179 nových případů TBC, 47 mykobakterióz a dva případy duální infekce. Z celkového počtu 228 infekcí u 149 mužů a 79 žen bylo 19 infekcí způsobeno kontaktem s nemocným, 29 náhodně a 168 pozitivních zjištěno po vyšetření pro obtíže. 181 nemocných je/bylo narozeno v České republice, zbytek jsou cizinci.
Příznaky plicní tuberkulózy:
- Dlouhotrvající kašel (déle než tři týdny)
- Bolest na hrudi
- Vykašlávání krve
Další obecné příznaky mohou zahrnovat:
- Únavu a slabost
- Nechutenství a úbytek hmotnosti
- Zvýšenou teplotu a zimnici
- Noční pocení
- Příznaky závislé na postiženém orgánu
Po infekci mykobakteriemi může dojít buď k latentní (skryté) infekci, nebo k rozvoji aktivního onemocnění.
Latentní TBC infekce
Osoby s latentní formou TBC obvykle:
- Nemají žádné příznaky a necítí se nemocné
- Nešíří bakterie na ostatní
- Mívají pozitivní kožní tuberkulinový test
- Mohou přejít do aktivní formy onemocnění, pokud nejsou preventivně léčeny
U přibližně 10 % infikovaných se latentní infekce časem přemění na aktivní onemocnění. Tuberkulinový test může detekovat přítomnost infekce již 2 až 10 týdnů po kontaktu se zdrojem nákazy. Latentní TBC může v organismu přetrvávat celý život, přičemž vyšší riziko rozvoje aktivní formy mají jedinci s oslabeným imunitním systémem, například lidé s HIV.
Inkubační doba
Onemocnění se obvykle rozvine do dvou let od vstupu infekce do organismu.
Rizikové skupiny
Nejvyšší náchylnost k infekci mají:
- Novorozenci a děti
- Dospívající a těhotné ženy
- Osoby s oslabeným imunitním systémem (např. pacienti s HIV)
Způsob přenosu
Hlavním zdrojem infekce je nemocný člověk s plicní formou TBC. Přenos probíhá nejčastěji kapénkovou cestou – bakterie se uvolňují do vzduchu při kašli, smrkání, kýchání či mluvení infikovaného jedince. K nákaze může vzácně dojít i konzumací nepasterizovaných mléčných výrobků, zejména syrového mléka od infikovaných krav. V ČR je však od roku 1934 povinná pasterace mléka určeného pro veřejnou spotřebu.
Infekční dávka
Tuberkulóza je vysoce nakažlivá, k infekci může stačit již 3–300 vdechnutých mykobakterií.
Období nakažlivosti
Nemocný je infekční, dokud jsou v jeho sputu přítomny živé mykobakterie, ve výjimečných případech i v jiných tělních materiálech.
Prevence a očkování
Od roku 2010 se v ČR očkují proti TBC pouze děti s vyšším rizikem nákazy. O vhodnosti očkování rozhoduje lékař novorozeneckého oddělení na základě dotazníku vyplněného matkou dítěte.
Indikace k očkování zahrnují:
- Pokud rodič, sourozenec nebo jiný člen domácnosti prodělal aktivní tuberkulózu
- Pokud dítě nebo jeho blízký příbuzný pochází ze země s vyšším výskytem TBC (nad 40 případů na 100 000 obyvatel) nebo tam pobýval déle než 3 měsíce
- Pokud dítě bylo v kontaktu s osobou s aktivní tuberkulózou
Je-li potřeba očkovat dítě starší než 6 týdnů, je nutné nejprve provést tuberkulinový test. Vakcinace se provádí pouze v případě negativního výsledku testu.
Léčba
- Základem léčby tuberkulózy je včasné nasazení specifických antibiotik (antituberkulotik), obvykle na dobu šesti měsíců. Většina pacientů přestává být infekční již po dvou týdnech léčby.
- Nemocní s aktivní formou tuberkulózy bývají hospitalizováni a léčeni ve specializovaných plicních léčebnách.
- Ústavní léčba (iniciální fáze) se obvykle omezuje na 2 měsíce, kdy klesá infekciozita na minimum a posuzují se případné lékové interakce a nežádoucí účinky zahájené terapie. Další léčbu (pokračovací fáze) provádíme ambulantně denně, 4 měsíce, nebo intermitentně, 4 měsíce 3× týdně.
- Minimální doba léčby bakteriologicky ověřené TBC je 6 měsíců, neověřené 4 měsíce.
- Dispenzární péče (souhrn opatření, který zahrnuje preventivní metody, vyhledávání a povinné hlášení, řádnou léčbu, soustavné sledování zdravotního stavu a udržení pracovní schopnosti).
Správná diagnostika, rychlé zahájení léčby a prevence pomocí očkování u rizikových skupin jsou zásadní faktory v boji proti této závažné infekci.